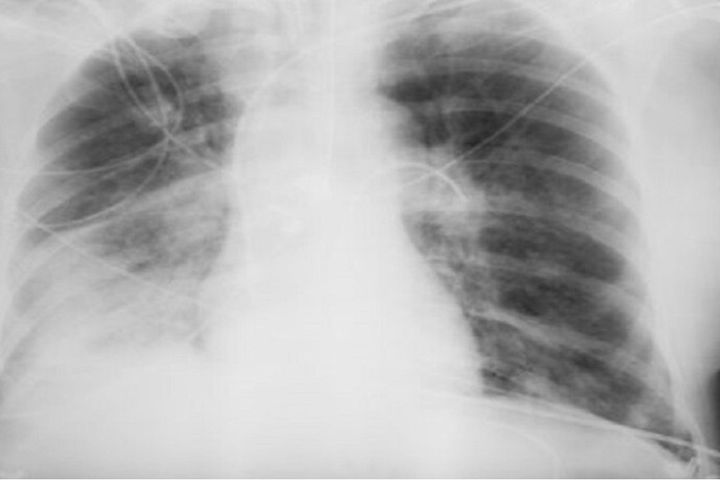
وتوضح الطبيبة لماذا قد يكون رفض الفحص أكثر خطورة على الشخص من الإشعاع نفسه.
ووفقًا لها، يستخدم الإشعاع فقط في أنواع معينة من الفحوصات، ولا تتضمن جميع طرق التشخيص التعرض للإشعاع. فمثلاً، يستخدم التصوير بالموجات فوق الصوتية والتصوير بالرنين المغناطيسي، وهذه طرق آمنة تمامًا حتى للنساء الحوامل. أما الأشعة السينية فتستخدم فقط في التصوير الشعاعي، والتصوير الفلوري، والتصوير المقطعي المحوسب، بينما لا تتضمن طرق أخرى التعرض للإشعاع.
وتقول: "يمكن للنساء المرضعات الخضوع لأشعة الأسنان السينية، والتصوير الفلوري، وتصوير الثدي بالأشعة السينية بأمان. ولا يؤثر الإشعاع على حليب الثدي أو الطفل. ولكن توصف الأشعة السينية للنساء الحوامل فقط في حالات طبية صارمة، وحينها يجب حماية البطن بمئزر من الرصاص".
وبالإضافة إلى ذلك، تصدر الأجهزة الحديثة جرعات ضئيلة جدًا. أي لتلقي الإشعاع الضار، يتطلب الأمر الخضوع لمئات عمليات المسح المتتالية، وهو أمر مستحيل في الممارسة العملية. وللمقارنة، تصدر أشعة الأسنان السينية حوالي 30 ميكروسيفرت، وتصدر أشعة الفلوروغرافي (Fluorography) حوالي 500 ميكروسيفرت، وتعتبر الجرعة التي تزيد عن 50 ألف ميكروسيفرت سنويًا خطيرة.
وتشير الطبيبة إلى أنه لا أساس من الصحة للمخاوف الشائعة بشأن مخاطر أشعة الأسنان السينية، لأن الشعاع يركز بدقة على المنطقة المطلوبة، وتغطى الأنسجة المحيطة به.
وتقول: "الأشعة السينية هي إشعاع كهرومغناطيسي، مثل الأشعة فوق البنفسجية والضوء والحرارة. صحيح قد تلحق جرعاتها العالية الضرر بالخلايا، كالذي تسببه حروق الشمس. وأن الاستلقاء تحت أشعة الشمس على الشاطئ دون حماية أخطر بكثير من تصوير بالأشعة السينية للصدر مرة واحدة سنويًا".
وتؤكد بلاتونوفا أن عدم اكتشاف المرض أخطر بكثير من الخضوع للأشعة السينية، حيث تقلل المعدات الحديثة من المخاطر، كما أن الفحوصات في الوقت المناسب تسمح بالكشف السريع عن الأمراض وبدء العلاج.
روسيا اليوم
-
أخبار متعلقة
-
طريقة بسيطة لإبطاء الشيخوخة
-
آلية خفية تسمح للخلايا السرطانية بالعودة مجددا بعد العلاج
-
اكتشاف عامل خطر غير متوقع لسرطان البنكرياس
-
فصيلة الدم الأكثر عرضة لأمراض الكبد القاتلة
-
عادات شائعة تسبب انتفاخ البطن.. تعرّف عليها
-
كيف تقوي مناعتك قبل عطلات نهاية العام؟
-
ما مخاطر الإفراط في تناول "فيتامين سي"؟
-
طبيبة: التدخين يزيد خطر متلازمة الأيض ويستلزم الإقلاع التام
