الأربعاء 2025-11-05 12:37 م

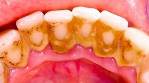
4 أسباب لتراكم الجير على الأسنان

تعبيرية
03:33 م
الوكيل الإخباري-   4 أسباب لتراكم الجير على الأسنان


gnews

أحدث الأخبار

الأكثر مشاهدة